Ainda estamos no meio da pandemia e sabemos pouco sobre todas as causas e consequências que a COVID-19 pode trazer.
Esta semana recebemos um relato vindo da Áustria, sobre mergulhadores que se curaram do novo coronavírus, contudo, apresentaram condições preocupantes.
O relato foi escrito pelo Dr. Frank Hartig, médico sênior de uma Clínica na Universidade de Innsbruck, na Áustria, chefiando o departamento de emergência do hospital e coordenador de crises, sendo o responsável pelo tratamento de 19 pacientes que tiveram o coronavírus.
Dentre os doentes, seis eram mergulhadores ativos e que não precisavam ser tratados no hospital, e se curaram realizando o isolamento em suas residências. Não eram casos graves e se livraram da infecção entre cinco a seis semanas atrás.
Mesmo sendo considerados pacientes recuperados, inicialmente eles não podem mergulhar mais, pois apresentam danos irreversíveis nos pulmões, onde em alguns casos, foram identificadas consolidações maciças e infiltrações.
“A tomografia dos pulmões mostrou que não houve uma melhora significativa”, disse Hartig.
Ainda segundo o médico, dois pacientes apresentaram deficiência significativa de oxigênio quando estavam sob estresse pulmonar, aspecto típico de shunt pulmonar persistente. Os brônquios ainda se apresentam muito sensíveis quando estressados, assim como ocorre nos asmáticos.
“Cheguei a rever se as imagens haviam sido trocadas, pois o paciente saudável estava sentado à nossa frente como se estivesse bem, mas não estava. É chocante e não entendemos o que está acontecendo aqui”, disse o médico.
É incontestável que a infecção pela COVID -19 deve ser tratada como uma doença grave, pois não sabemos quais serão os efeitos tardios que ela provoca. Pacientes já recuperados e fora de risco, não devem mergulhar sem a realização de um check-up completo, de preferência com um médico hiperbárico, para que ele examine o mergulhador.
Tendo em vista a identificação de grandes alterações nos pulmões após a infecção, isso pode aumentar significativamente o risco de acidente durante um mergulho.
“Mergulhadores acabam tendo um nível mais alto de oxigênio ao mergulhar, principalmente quando utilizam misturas Nitrox, e isso pode ser perigoso se o tecido pulmonar ainda estiver sensível”, alertou Hartig.
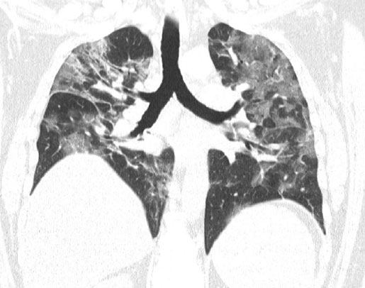
A tomografia de pulmão abaixo é de um paciente de 40 anos de idade, e foi tirada 6 semanas após a infecção pela COVID-19. Apesar do esforço (5 agachamentos) e se sentindo confortável, há uma diminuição da saturação de oxigênio como sinal de uma shunt pulmonar. Na imagem é possível identificar consolidações e infiltrações em ambos os lados.

Possui algum conteúdo relacionado ao mergulho e acha que pode ser interessante dividir com outros mergulhadores ?
Envie um conteúdo para a principal revista eletrônica sobre mergulho do Brasil.




